오늘은 디지털 구강스캐너(Trios 5)를 이용한
앞니 심미 보철 치료 케이스를 소개드리며,
디지털 진료의 장점에 대해 설명드리겠습니다!!
위 앞니에 충치가 심해요!!
위 앞니가 충치가 생겨 오셨습니다.
정면에서 보았을 때, 위 앞니가 충치로 인해
시커멓게 보이는 부분이 있습니다.
치아의 옆면, 뒷면에 충치가 있어 비쳐 보입니다.
치아 뒷 면 입니다.
과거 충치치료, 신경치료를 한 흔적이 있고,
그 주위로 2차 우식이 진행된 상태 입니다.
충치를 모두 제거하고, 크라운 치료를 하기로 합니다.
충치가 심하여, 치아가 얼마 안 남게 되는 치아는
신경치료 및 포스트 치료를 병행합니다.
신경치료를 끝낸 후 보철 제작을 진행합니다.
디지털 구강 스캐너(트리오스5)로 인상채득을 합니다.
인상 채득 과정 및 결과를
위 사진과 같이 디지털 자료로 시각화 해서 볼 수 있습니다.
이렇게 디지털 스캔을 하면,
완성될 앞니 모습을 미리!!! 시뮬레이션 제작 하여
환자분의 앞니 모습을 예측 할 수 있습니다.
디자인1, 디자인2
두가지 디자인을 디지털로 미리보기(?)를 합니다.
환자분께서 마음에 드는 디자인을 선택할 수 있고,
바꾸고 싶은 부분을 얘기 하시면
의견을 반영하여
수정해서 새로 확인 할 수 있습니다.
정면 모습 외에, 좌 우 측면 모습도 미리보기가 가능합니다.
디자인 2를 선택하셔서,
그대로 보철물을 제작 하고,
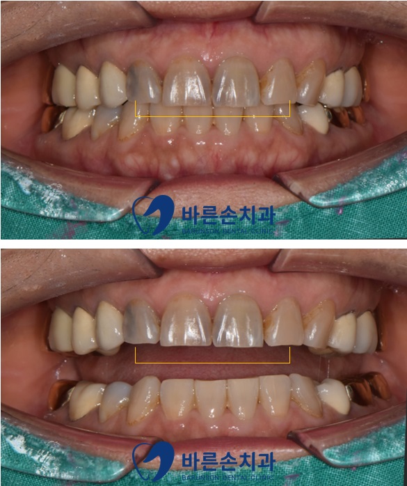
세팅 후 모습입니다.
색깔, 모양 잘 어울려서 붙이고 진료를 마무리 했습니다.
고급 디지털 스캐너의 도입으로, 본 뜨는 시간이 줄어들고, 정확도는 늘었습니다.
이번 케이스에서 보듯,
앞니 치료(심미 치료)에 있어서도 구강스캐너의 장점이 있습니다.
내가 장착하게 될 치아의 모습을 예측할 수 있고, 또 부족한 부분이 있으면
환자의 의견을 반영해 미리 수정할 수도 있습니다.
그로 인해,
재제작의 가능성과 다시 끼고 붙이고 하는 번거로움을 없앨 수 있어,
훨씬 편한 진료가 됩니다.
좋은하루 보내세요!~!^^
031-848-2879








