안녕하세요.
<의정부 바른손치과>입니다. ^^
오늘도 저희 치과의 단골메뉴^^
환자분들께서 많이 찾아주시는 미백치료에 대해 보여드리겠습니다. !
저희 바른손치과에서는 원데이 미백으로
여러 번 오실 필요 없이 한번 내원에 3회 미백을 진행해 드리며
소요 시간은 약 1시간 내외로
바쁘신 분들도 원데이 미백을 통해 빠르게 치아가 밝아질 수 있으십니다^^
그럼 세분 정도의 케이스를 또 간단하게 보겠습니다
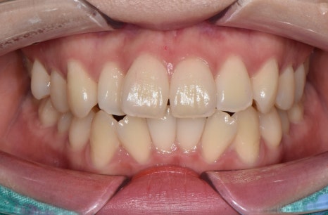
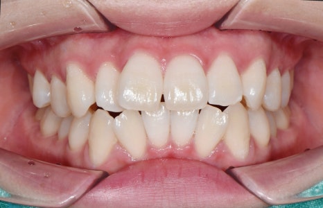
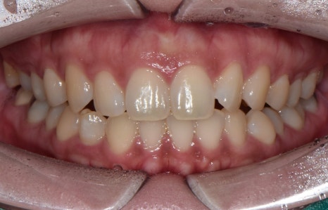
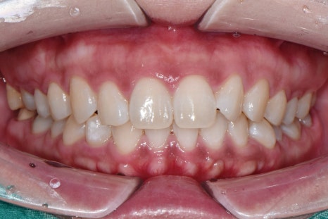
원데이 미백 전후 사진입니다
<원데이 미백>을 통해 약 1시간 만에 노랬던 치아색이 하얗게 바뀌셨네요~
진료 후 바로 즉각적인 효과를 확인하실 수 있어요!
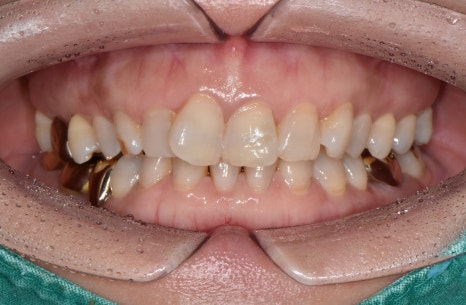
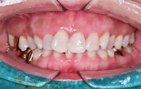
또 다른 환자분들의 사진도 함께 보시겠습니다~
마찬가지로 전 후 사진입니다.
확연한 밝기 차이를 보실 수 있습니다!!
마지막 분 역시 많이 환해진 치아를 확인 할 수 있습니다^^
원데이 치아미백은 남녀노소 누구나 받으실 수 있으며
효과는 환자분들 개개인마다 차이가 있을 수 있습니다.
대부분 만족하시며 돌아가십니다.
치아 미백에 관심 있으신 분들은
저희 의정부 바른손치과에 내원하셔서 상담받아보시고 진행해 주세요.
감사합니다.^^






