신곡동치과, 건강한 잇몸을 지키기 위한 스케일링 치료

안녕하세요! 신곡동치과 [의정부 바른손치과] 입니다!
오늘은 잇몸치료의 가장 기본!
스케일링에 대해서 설명드리려 합니다.
스케일링 꼭 해야하나요?
아파서 하기 싫어요…
스케일링이 아프다고, 시리다고 안 하시는 분들이 계시는데요.
환자분들이 거울을 봤을 때 잘 보이지 않거나
칫솔모가 잘 닿지 않는 곳에 치석이 쌓여있는 경우가 많습니다.
치석은 잇몸질환의 주범입니다…
세균 덩어리이기 때문에 치아를 잡고있는 뼈를 녹여서
모든 치아가 흔들리게 되는 ‘풍치’가 생길 수 있죠.
잇몸질환이 생겼을 때 나타나는 증상은 이렇습니다.
* 잇몸 출혈 *잇몸 부종
*잇몸 내려감 *입냄새 등등..
이러한 증상을 미리미리 예방하기 위해서!! 스케일링을 권유드리게 되고,
스케일링 만으로도 충분히 예방할 수 있습니다.

23.07.27

23.07.27

23.07.27

23.07.27

23.07.27

23.07.27
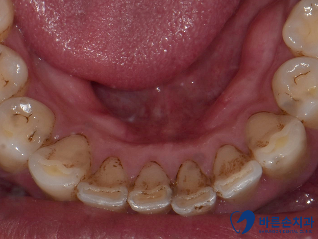
신곡동치과 치석제거를 받기 전 후 사진입니다.
사진에 보이는 것처럼 스케일링 하기 전,후 차이가 많이 나죠??
치아 주변으로 누런 치석이 보이실겁니다.
제거 후 피가나는 이유도 이런 치석으로 인해 잇몸이 좋지 않았기 때문이에요..
보통은 아래 앞니 안쪽에 치석이 많이 쌓이게 되니까
칫솔을 세로로 세우셔서 안쪽을 닦아주셔야해요.
스케일링은 연1회 보험적용이 되니까
1년에 한번은 꼭 받아주시고
치석이 잘 생기는 분들은
6개월에 한번씩 받으시는걸 권장드려요ㅎㅎ
시리거나 아플까봐 두려우시다면
저희 치과에서는 가글 마취를 한 후 스케일링 진행하기 때문에
걱정마시고 신곡동치과 [의정부 바른손치과] 내원하셔서 스케일링 꼭 받으세요^^

1) 모든 증례 사진은 의료법 제23조, 제 56조에 의거하여, 당사자의 동의 하에 게시하였습니다.
2) 치료 사진은 모두 본원에서 치료한 동일 환자분의 사진이며, 동일조건에서 촬영하였습니다.
3) 개인의 차이에 따라 시술 및 수술 후 부작용이 발생할 수 있으며, 의료진과 충분한 상담을 받으시기 바랍니다.
네이버지도 바로가기