신곡동치과, 벌어진 앞니와 치경부마모 치료

안녕하세요!
신곡동치과 [의정부 바른손치과]입니다 ^^
오늘은 앞니 벌어짐, 치경부마모를 치료하신 환자분을 소개드릴려고 합니다.

Befoer 23.09.07
<앞니 벌어짐>
치아와 치아 사이가 벌어져있는 상태입니다.
환자분은 위에 앞니 사이가 벌어져 있으시네요.
기능적으로는 큰 문제가 없지만
앞니가 벌어져 심미적으로 개선을 원하셨습니다.

Befoer 23.09.07
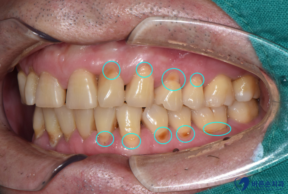
<치경부 마모증>
치아와 잇몸 사이 경계부가 마모되어 파이는 증상입니다.
어금니 쪽을 보면 치아가 뚝뚝 떨어져 나가서 파여있는 모습이 보이시죠?
이 상태로 방치하게 되면 더 파이게 되고
치아가 시린 증상도 생기기 때문에
그렇게 되기 전에 미리미리 때워서 사용하시는 게 좋아요~

Before 25.08.27
앞니가 벌어진 부분은
지르코니아 크라운 치료를 통해
심미적으로 개선을 합니다.
치경부 마모증은 파여있던 부분을 보험이 되는 재료(gi)로 때워드렸고
때운 재료는 생활습관으로 인해 떨어질 수 있으니
떨어지면 또다시 때워주시는 게 좋아요ㅎ

2023.09.07 / 2025.08.27
앞니와 어금니 모두 치료가 끝났습니다.
앞니의 잇몸 라인도 좌우 대칭으로 잘 맞춰서
더 가지런하게 보이도록 해드렸어요^^
앞니가 보기 싫고 고민인 부분이 있으시다면,
치아가 파여서 시리시다면
연락 주시고 내원하셔서 치료받으시는 거 추천드립니다!
신곡동치과 [의정부 바른손치과의원]
031)848-2879
네이버지도 바로가기
1) 모든 증례 사진은 의료법 제23조, 제 56조에 의거하여, 당사자의 동의 하에 게시하였습니다.
2) 치료 사진은 모두 본원에서 치료한 동일 환자분의 사진이며, 동일조건에서 촬영하였습니다.
3) 개인의 차이에 따라 시술 및 수술 후 부작용이 발생할 수 있으며, 의료진과 충분한 상담을 받으시기 바랍니다.
