신곡동치과, “예전에 했던 앞니 브릿지가 빠졌어요 !” 부러진 앞니 보철물 살리기

 

신곡동치과

 

안녕하세요!
신곡동치과 [의정부 바른손치과]입니다.

어느날 갑자기 브릿지, 보철물이 빠졌다면..?

 

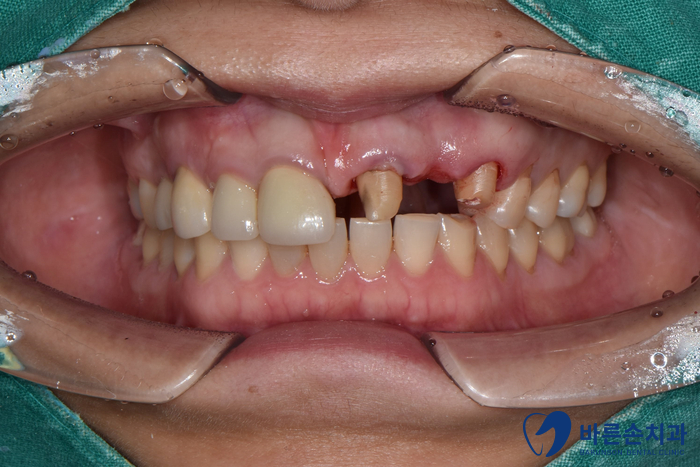
예전에 했던 앞니 브릿지가 빠졌어요 !!

 

누구보다 놀란 마음으로 저희 치과를 찾아주셨는데요,
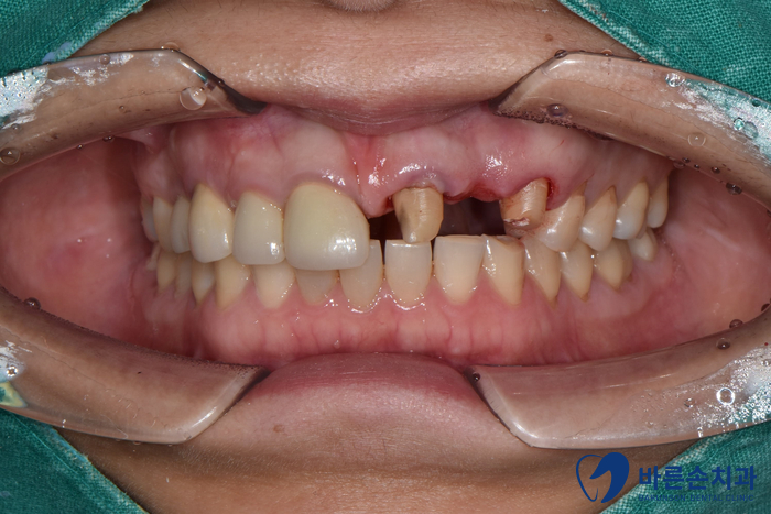
상태 체크를 위해 구내 사진과 엑스레이 촬영을 먼저 하였습니다!

 

신곡동치과

23.10.10

신곡동치과

23.10.10

신곡동치과

23.10.10

 

치아 한 개가 상실되어 양 옆 치아를 연결해서 만든 보철물을 브릿지라고 하는데요.
브릿지가 빠져있고 남아있는 치아를 보니 연결해서 쓰던 치아 내부에 2차 충치가 생겼습니다.

사실 상태가 좋지 않아 발치 가능성이 높았지만 최대한 자연 치아를 살려보고자 치료를 들어갔어요 ‘-‘

 

신곡동치과

23.10.10

 

이미 상실된 가운데 치아에는 임플란트,
양 쪽 2개 치아는 신경치료 한 후 다시 크라운 치료를 하기로 합니다.

 

신곡동치과

23.10.17

 

크라운은 임플란트에 비해 빠른 치료가 가능해서
바로 본 뜨고 보철제작에 들어가요~!

 

신곡동치과

23.10.17

 

치료기간 단축을 위해
가운데에는 임플란트를 바로 심었습니다!

 

신곡동치과

24.01.23

 

3개월 후
임플란트 보철 제작에 들어갑니다.

그 사이
양 쪽 치아 크라운 완성 된 게 보이시나요? ^^*

 

신곡동치과

24.02.04

신곡동치과

24.02.04

 

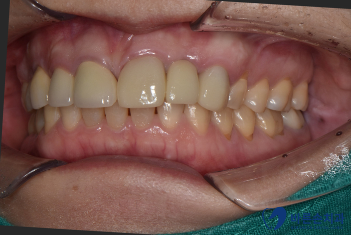
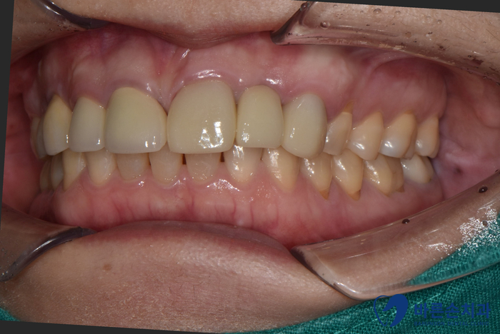
크라운과 임플란트 보철이 완성된 모습입니다!

임플란트 보철물도 주변 자연치아와 잘 조화되어
큰 이질감이 없어요!!

다행히 기존 내 치아를 살리면서 치료를 마칠 수 있었어요.
너무 다행입니다.^^

 

신곡동치과

23.10.10

신곡동치과

24.02.04

 

오래된 보철물이 빠져도
걱정마시고 언제든 신곡동치과에 내원해주세요!

저희 신곡동치과 [의정부 바른손치과]에서는 자연치아를 살릴 수 있도록
최선을 다해 노력하고 있습니다. ^^

오늘도 감사드립니다~!
날씨가 추운데 감기 조심하세요~!

031)848-2879

 

네이버지도 바로가기

 

1) 모든 증례 사진은 의료법 제23조, 제 56조에 의거하여, 당사자의 동의 하에 게시하였습니다.
2) 치료 사진은 모두 본원에서 치료한 동일 환자분의 사진이며, 동일조건에서 촬영하였습니다.
3) 개인의 차이에 따라 시술 및 수술 후 부작용이 발생할 수 있으며, 의료진과 충분한 상담을 받으시기 바랍니다.

 

신곡동치과 신곡동치과