신곡동치과, 의정부 원데이 치아미백 (오스템)

안녕하세요 !
신곡동치과 [의정부 바른손치과] 입니다.
오늘도 간단한 원데이 치아미백 케이스
몇개를 소개드리려고 합니다.
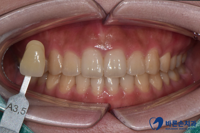
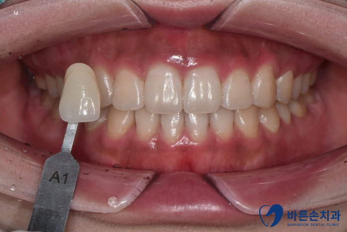
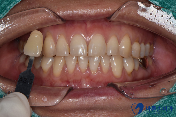
< Case 1>

2025.3.25

2025.3.25

2025.3.25

2025.3.25

2025.3.25
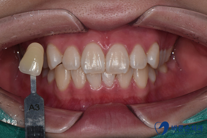
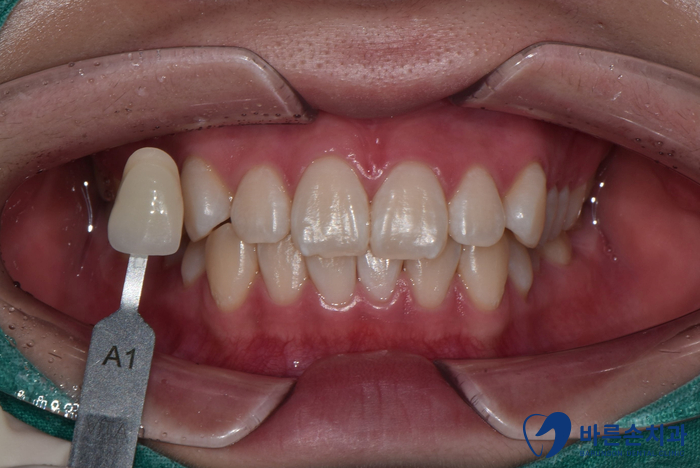
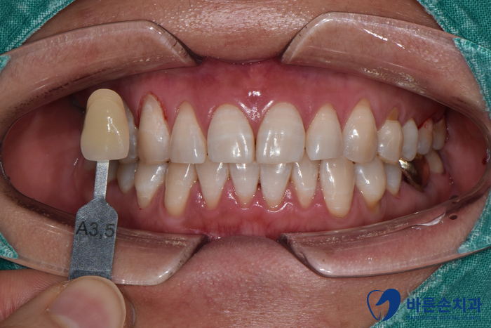
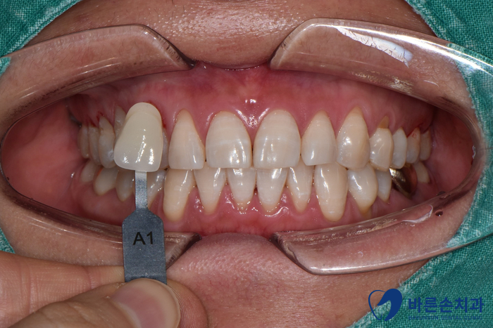
< Case 2 >

2025.7.24

2025.7.24

2025.7.24

2025.7.24

2025.7.24
< Case 3 >

2025.1.6

2025.1.6

2025.1.6

2025.1.6

2025.1.6
신곡동치과 [의정부 바른손치과] 에서는
오스템 정품 미백제 와 오스템 정품 미백기 를
사용하여
보다 확실한 효과로, 단 한 시간 만에!
밝은 미소를 찾아드리고 있습니다.^^

네이버지도 바로가기
1) 모든 증례 사진은 의료법 제23조, 제 56조에 의거하여, 당사자의 동의 하에 게시하였습니다.
2) 치료 사진은 모두 본원에서 치료한 동일 환자분의 사진이며, 동일조건에서 촬영하였습니다.
3) 개인의 차이에 따라 시술 및 수술 후 부작용이 발생할 수 있으며, 의료진과 충분한 상담을 받으시기 바랍니다.
