신곡동치과, 자연스러운 미소를 위한 심미보철 치료

안녕하세요?
신곡동치과 [의정부 바른손치과]입니다.
오늘은 틀어진 앞니를
지르코니아 보철로 개선한 케이스를 소개해 드리겠습니다.
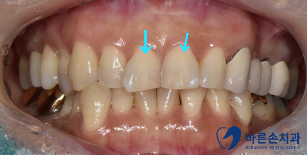
앞니가 돌출되어서 가지런히 하고 싶어요

Before 23.11.14
환자분께서 사진처럼 중앙앞니들이 틀어져
돌출된 부분을 개선하고 싶으셔서 내원해 주셨습니다.
성장 과정 중 치아가 맹출할 공간이 부족하면
치아가 회전되어 틀어지는 경우가 있습니다.
이런 경우,
치아교정
라미네이트
지르코니아 크라운
치료를 할 수 있습니다.
환자분 치아 상태에 따라 알맞은 치료방법을 선택하여야 합니다.
치아의 돌출도가 많은 편이여서
치아를 가지런히 하기 위해서는
치아삭제량이 어느정도 있어야 하는 상태이기 때문에
지르코니아 크라운 치료로 진행 하였습니다.

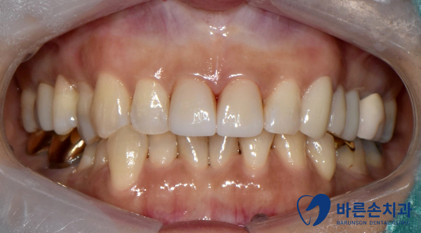
23.11.22 촬영함
치아삭제를 하였지만 신경치료는 진행하지 않아도 되었기에
2번 신곡동치과 내원으로
크라운 치료가 완성되었습니다.

지르코니아 크라운을 제작해서 완성된 모습입니다.
돌출되었던 치아들이 가지런하게 개선되었습니다.
환자분께서 거울로 보시고
웃을 때 신경쓰였는데
이제는 환하게 웃을 수 있겠다고 좋아하셨습니다.
앞니 때문에 자연스럽게 웃는게 힘드시다면
저희 신곡동치과 [의정부 바른손치과]에 오셔서
어떻게 해야 할지 상담 받으러 오세요
오늘도 좋은 하루 되세요
감사합니다.
031)848-2879

Before 23.11.14&After 23.12.06
네이버지도 바로가기
1) 모든 증례 사진은 의료법 제23조, 제 56조에 의거하여, 당사자의 동의 하에 게시하였습니다.
2) 치료 사진은 모두 본원에서 치료한 동일 환자분의 사진이며, 동일조건에서 촬영하였습니다.
3) 개인의 차이에 따라 시술 및 수술 후 부작용이 발생할 수 있으며, 의료진과 충분한 상담을 받으시기 바랍니다.
