안녕하세요^^

오늘은 무너져 내린 어금니를 임플란트 치료를 통해 재건한 케이스를 소개드리겠습니다.

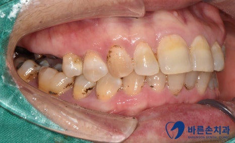
60대 여자 환자분께서 어금니 치료 차 내원 하셨습니다.

치석, 착색이 심한 초진사진.

 

우측 위 어금니, 좌측 위어금니 상실 상태

 

상하악 어금니 발치가 필요한 상태의 치료 전 모습, 23.11.30

초진 사진 입니다.

어금니가 대부분 부러져서 뿌리가 남아 있거나, 치주염으로 인해 흔들리는 상황 입니다.ㅠㅠ

파노라마 엑스레이 촬영 후, 치료 계획을 세웁니다.

X 표 치아들은 발치하고, 임플란트를 하기로 계획합니다.

상악동 함기화(노란선)로 인해, 상악동 공간에 뼈가 많이 부족하고,

치은연하(잇몸 밑으로 내려간) 치석으로 인해 치주염이 심합니다.

아래 어금니들은 발치와 동시에 임플란트 식립을 해서 일찍 완성이 된 모습입니다.

위 어금니들은 임플란트와 상악동 측방 거상술로 뼈 이식을 많이 해서 기다리는 중이고,

남은 치아들은 잇몸치료를 통해 치은연하 치석을 다 제거 하였습니다~

윗 어금니까지 보철물을 완성한 후 파노라마 엑스레이 사진입니다.

 

 

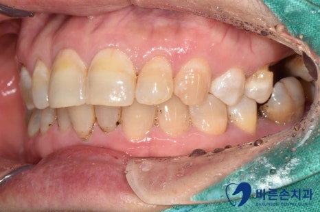
치료 완료 모습, 24.5.7

치료 완료 후 구강 내 모습입니다.

어금니가 가지런하게 잘 들어갔고,

남아있던 치아들도 착색을 다 제거하고, 깨끗하게 치료를 마쳤습니다.

총 치료 기간은 6개월 정도로 좀 오래 걸린 편이었는데,

환자분께서 내원도 잘 하시고 잘 도와주셔서 어렵지 않게 마무리 할 수 있었네요^^

어금니 저작 기능을 잘 회복하여야, 앞니들의 수명도 길어집니다.

강하게 씹어줘야 할 어금니들이 없어지면 그 부담을 상대적으로 약한 앞니들이 하기 때문인데요,

오늘 소개드린 환자분은 다행히 어금니 기능을 잘 회복하여,

앞으로 주기적인 검진만으로 좋은 구강 상태를 유지할 수 있게 되었습니다!

오늘도 행복한 하루 보내세요~^^

카테고리: main임플란트