의정부임플란트 아프고 시린 앞니

전반적인 치료를 통해

의정부임플란트

안녕하세요.

바른손치과입니다 🙂

 

오늘은 앞니의 전반적인 치료를 진행한

케이스를 소개드리겠습니다.

 

” 위에 앞니가 아파요”

의정부임플란트

23.10.18

위 앞니가 아프고 시려 내원하신 분입니다.

 

환자분의 치아 상태를 확인해보니

앞니의 치경부 (치아와 잇몸 경계) 부분에

충치가 많이 진행되어 있습니다.

 

충치가 너무 깊어서

살릴 수 없는 치아는 임플란트 하고

살릴 수 있는 두개 치아는

신경치료+크라운 하기로 했습니다.

 

충치가 깊지 않은 치아는

레진으로 간단하게 때우기로 합니다.

 

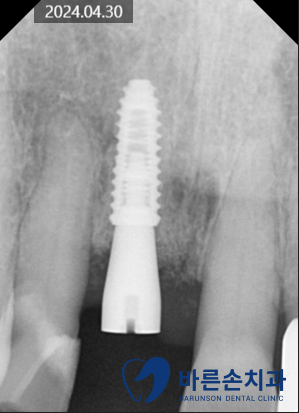
가장 많이 썩은 치아는

발치하는 동시에 임플란트 식립을 하였습니다.

 

옆 치아들도 신경치료를 잘 끝내고

크라운 치료를 진행합니다.

 

24.05.14

계획한 치료가 다 끝난 후 사진입니다.

 

까맣게 보이던 앞니가

다 깨끗하게 치료 되었어요ㅎㅎ

 

치료 도중에 환자분 사정으로

치과에 못 오시는 기간이 있어,

예상보다 늦게 완성 되었지만ㅠㅠ

치료가 잘 마무리 되었습니다.

 

의정부임플란트

23.10.18 > 24.05.14

앞니 모양이며 색깔도

치료 전보다 훨씬 개선이 되어 만족을 하셔서

저희도 기분이 좋았습니다.^^

 

치아와 잇몸의 경계 부분은

패이는 경우가 많습니다.

 

그럼 음식물이나 치태가 자꾸 끼게되고, 방치되면

충치가 생기기 마련입니다 ㅠㅠ

 

그래서!!

 

항상 치아를 닦을 때는

잇몸에서부터 닦아야 한다는 사실을 알고

올바른 방법으로 칫솔질 하시는게 좋습니다^^

 

*모든 증례 사진은 의료법 제23조, 제 56조에 의거하여,

당사자의 동의하에 게시하였습니다.

*치료 사진은 모두 본원에서 치료한 환자분의 사진입니다.

*치료 사진은 모두 동일인의 사진이며,

동일조건에서 촬영하였습니다.

*개인의 차이에 따라 시술 및 수술 후 부작용이 발생할 수 있으며,

의료진과 충분한 상담을 받으시기 바랍니다.

 




네이버 바로가기

발곡역치과 앞니 균열 심미 크라운 치료를 통해 개선