안녕하세요.

의정부 바른손치과입니다.

오늘은 저희 치과에서 진행한 원 데이 치아 미백에 대해서 알아보겠습니다


치아가 너무 노란 거 같아요!!!

생각보다 많은 분들께서 노란 치아로 고민이 있으신데요

이런 고민은 원 데이 치아 미백으로 해결할 수 있죠^^!!

저희 치과에 내원해 주신 환자분께서

노란 치아에 대한 고민이 있으셨는데요

실제로 환자분의 치아에 노란 기가 많이 돌고 톤이 많이 어두우신 편이라

환자분과 상담 후 하루에 끝나는 원 데이 치아미백을 진행하기로 하였습니다!


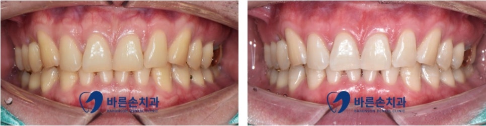
원 데이 치아 미백 완료 후의 모습입니다

원 데이 치아 미백의 진료 시간은 1시간 내이며

통증이 없고 일상생활로의 복귀가 바로 가능하기에

부담 없이 진행 가능한 진료입니다^^

위 환자분의 미백 전후 사진을 보니

원 데이 치아 미백의 효과가 한눈에 더 잘 보이네요^^


치아 미백의 효과를 더욱더 오래 유지하기 위해서는?!

흡연이나 착색이 잘 되는 음식 (카레, 한약, 커피, 녹차, 콜라, 오렌지주스, 착색 음료 등)들을 피해주시고,

드셨다면 바로 양치질을 통해 치아 표면에 음식물이 남아있지 않도록 해주시는 게 좋습니다


지금까지 원데이치아 미백에 대해 알아보았는데요

치아색이 노랗거나 어두워서 고민이시라면

저희 바른손 치과에 방문하시어 상담해 주세요

감사합니다^^

#의정부바른손치과 #신곡동바른손치과 #의정부치아미백 #신곡동치아미백 #민락동치아미백 #금오동치아미백 #노원치아미백 #양주치아미백 #의정부치과추천 #의정부임플란트 #의정부야간진료 #의정부크라운 #의정부신경치료 #의정부스케일링 #의정부턱관절 #의정부라미네이트 #의정부안아픈치과 #의정부원데이치아미백 #의정부양심치과 #의정부야간치과 #의정부보험임플란트 #의정부보험틀니 #의정부오스템

카테고리: Uncategorized