안녕하세요 의정부 바른손 치과입니다.
날씨가 점점 추워지고 있네요. 항상 감기 조심하시고요
오늘은 사랑니 발치에 대해 알아볼게요~!
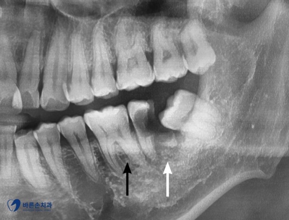
환자분은 왼쪽 아래 치아가 흔들려서 내원해 주셨어요

환자분이 불편함을 느낀 치아는 ‘하얀색’ 화살표로 가리킨 치아인데요,
정상적인 치아는 ‘검은색’화살표로 가리킨 치아처럼 치아의 머리 부분이 하얗게 남아있어야 합니다.
환자분의 치아는 엑스레이 상으로만 봐도 충치로 인해 치아가 많이 상실된 걸 확인하실 수 있는데요!
충치는 여러 가지 요인으로 인해 생기지만
환자분 같은 경우에는 뒤에 사랑니가 기울어져 나면서 앞쪽 치아와 사랑니 사이에 음식물도 끼고
관리가 안 되어 충치가 생기신 경우입니다!
그렇지만 모든 사랑니가 발치가 필요할까요?
사랑니가 올바르게 나거나, 관리가 잘 되시는 분들은 굳이 발치를 하지 않으셔도 되지만
충치가 생기거나 염증이 생기는 경우 발치를 권유 드리고 있습니다.
물론 사랑니는 정상적인 기능을 하는 치아가 아니기 때문에 예방적 차원에서 발치를 해주시는 것도 좋습니다.
다시 본론으로 돌아와서~

환자분 같은 경우에는
워낙 충치의 범위가 넓고 남아있는 치아의 양이 적어 살릴 수 있는 방법이 없어
아쉽지만 사랑니와 함께 발치를 해드렸습니다.
한번 생긴 충치는 사라지지 않기 때문에 치료하여 잘 쓸 수 있는 치아를
시기를 놓쳐 발치하는 일은 가장 안타까운 일이기도 합니다ㅜㅜ
사랑니는 따로 임플란트를 할 필요는 없지만!
사랑니와 같이 빼게 된 앞 치아는 씹는데 중요한 역할을 하는 치아이기 때문에
추후 임플란트 치료하여 꼭! 수복을 해주셔야 합니다.
그렇기 때문에 아프지 않더라도 정기적으로 치과를 방문하여 검진을 받는 게 중요하겠죠??
여기까지 사랑니 발치에 대해 알아봤습니다~!
항상 저희 치과를 믿고 찾아주셔서 감사합니다 🙂
