|
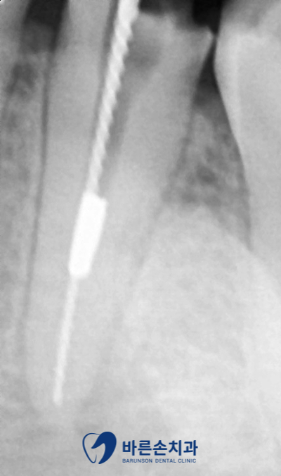
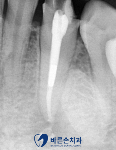
안녕하세요. 의정부 <바른손 치과>입니다. 오늘은 재신경치료에 대해서 설명드리겠습니다! 신경치료 한 치아에 염증이 발생됐다며 오신 환자분입니다. 파노라마 사진 상에 화살표 부분 보시면! 치아 뿌리 끝에 둥글게 까만색 원이 보이시나요?? 이미 신경 치료가 된 치아인데 염증이 생겼습니다… 통증도 있다고 하셨어요.. 자세히 보니 끝까지 신경치료가 완벽히 된게 아니였습니다. 그렇기 때문에 다시 한번 치아를 살려보자! 해서 재 신경치료를 진행했습니다. 먼저 치아 안에 충전되어있던 재료를 다 제거하고 다시 깨끗한 상태로 만듭니다. 염증도 엄청 많으셨고 발치 가능성도 있다고 설명드렸습니다. 신경관 안에 흰색 금속 무언가가 보였는데요. 제거는 되지 않았지만, 막힌 신경관을 확보하여 기구가 신경관 끝까지 들어가기 때문에 신경치료에는 문제가 되지 않았습니다! 수차례 소독과 배농 후 통증이 사라지셔서 신경관을 GP 콘 이라는 재료로 뿌리끝까지 채웠습니다. 남아있는 치아 머리 부분이 얼마 없기에 기둥(포스트)이 필요하셨고 레진으로 치아 벽도 만들었습니다. 크라운 제작을 위해 본을 뜨고 임시치아도 만들어드린 후 보철물이 제작될 때까지 일주일 정도 시간이 필요했어요. 이렇게 크라운도 씌우고 재신경치료를 마무리했습니다!! 앞으로 아무 통증 없이 잘 쓰셨으면 좋겠네요^^ 신경치료 후 염증이 생긴다고 해서 다 발치로 이어지지는 않습니다. 3D CT 촬영을 통해, 진단 후 재신경치료로 다시 살리는 경우가 많거든요!! 특히 오늘 알아본 케이스와 같이, 앞니의 경우에는 간단히 끝나는 경우도 많습니다!^^ 이렇게 재신경치료에 대해 보셨는데요! 다른 게시글에도 재신경치료의 내용이 있으니 참고해주세요~ 감사합니다^^ #의정부바른손치과 #신곡동바른손치과 #의정부치과추천 #의정부신경치료 #의정부보철치료 #의정부크라운 #의정부인레이 #의정부충치치료 #의정부치아교정 #의정부치아미백 #의정부원데이미백 #의정부임플란트 #의정부턱관절 #신곡동임플란트 #금오동임플란트 #민락동임플란트 #포천임플란트 #노원임플란트 #의정부스케일링 #의정부안아픈치과 #의정부야간치과 #의정부야간진료 |
카테고리: 충치치료






