안녕하세요! 의정부 <바른손치과> 입니다.
오늘은 치근단절제술(apicoectomy)에 대해 알아보겠습니다.
치근단절제술(apicoectomy) 이란?
나무 뿌리에 큰 뿌리가 있고 주변으로 잔뿌리가 있듯이
치아에도 큰 신경이 있고 주변에 잔신경이 있습니다.
신경치료를 한 치아 끝에 염증이 생겼을 경우 다시 재 신경치료를 하는 경우가 있는데요.
간혹, 그럼에도 불구하고 염증이 재발되면 잔신경으로 인한 염증을 의심해 볼 수 있기에
치근단(치아 뿌리 끝)을 조금 잘라내는 치료를 진행하게 되는데
이것을 치근단절제술이라 합니다.
그럼 이제 치근단절제술 사례를 한번 보실까요?
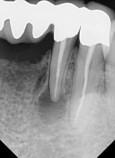
왼쪽 아래 잇몸에 통증이 심해 불편하다며 내원해 주신 환자인데요.
먼저 파노라마 촬영을 진행하고 확인해 봤습니다.
파란색 화살표를 보시면 치아 끝 어두운 원형이 보이시나요??
오래 전 신경치료를 마친 치아 뿌리에 염증이 생겨 있네요
여러 치아를 연결하여 사용하는 브릿지 보철물의 지대치 중 하나입니다.
나머지 치아들은 정상적인 상태이고, 브릿지 보철물을 뜯기엔 너무 큰 공사(?)이기 떄문에
해당 치아만 <치근단절제술> 을 하여 살려보기로 하였습니다!!
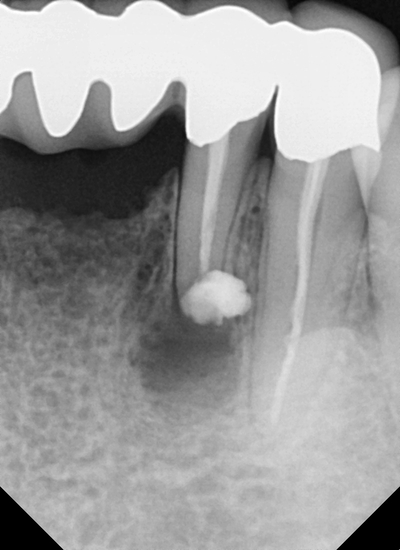
먼저 마취 후 잇몸을 열고 치조골(뼈)을 살짝 삭제합니다.
안에 있는 염증을 모두 제거해 깨끗하게 해줍니다.
치아 끝을 조금 잘라내고
신경치료 시 채웠던 재료를 잘라낸 부분보다 안쪽으로 더 제거해 줍니다.
이제 <MTA> 라는 생체 친화적 재료로 세균감염이 되지 않게
치아 끝부분을 막아준 후 마무리합니다.
경우에 따라,
염증으로 인한 치조골(뼈)의 손상이 많다면
손상 부위에 골이식이 필요할 수도 있습니다.
치근단 절제술 후 일주일 후 체크를 하셨을 때
환자분께서도 통증이나 불편감이 없이 괜찮으시다며 만족하셨네요 ㅎㅎ
이상, 오늘은
발치 전 마지막으로 해 볼 수 있는
<치근단 절제술>에 대해 소개 드렸습니다.
언제든 불편한 부분이 있으시면 치아 수명을 늘려주는
저희 <바른손 치과>로 내원하셔서 상담받아보세요 ^^






