안녕하세요.
오늘은 치주염으로 앞니가 흔들리는 분이 내원해주셨습니다.
치주염이란?
잇몸에 생긴 염증으로 인해 치아를 잡아주는 잇몸 뼈가 녹아버리는 증상을 말합니다.
보통 풍치, 잇몸병, 치주질환이라고 하는데
다 같은 말이에요.
치주염을 초기에 예방하지 않으면
염증이 점점 더 진행되어 잇몸 뼈에도 영향을 줍니다.
결국에는 치아가 흔들리게 되버리죠ㅠㅠ
충치도 없고 멀쩡한 치아라고 해도
치아를 잡아주는 뼈가 녹아버리면
이건 어쩔 수 없이 빼야합니다..
그러니 무엇보다 예방이 중요한 질환입니다.
예방은 치과에서 주기적인 스케일링과 잇몸치료를 받으시면 됩니다.^^
자 그럼 치주염으로 인해 치아가 이미 많이 흔들리는 상태로 오신 분을 볼께요
보시면 앞니 하나가 유독 뼈가 내려가 있는 걸 볼 수 있어요.
치아를 잡아주는 뼈가 별로 없다보니
치아가 밑으로 내려오면서 많이 흔들리는 상태였습니다.ㅠㅠ
치아가 흔들리면 저작 시 움직이게 되어
통증을 느끼고 불편하십니다.
그래서 발치 후 임플란트로 치료계획을 세웁니다!
이미 상실되어 있는 어금니와 함께 앞니 임플란트를 가지런히 심었습니다.
앞니 임플란트는 자주 보이는 부분이기에,
잇몸이 내려가지 않도록 식립하는게 관건입니다.
잇몸이 많이 내려가면, 심미적으로 좋지 않거든요.
2개월 뒤 임플란트와 뼈가 단단히 붙어
보철 제작에 들어갑니다.
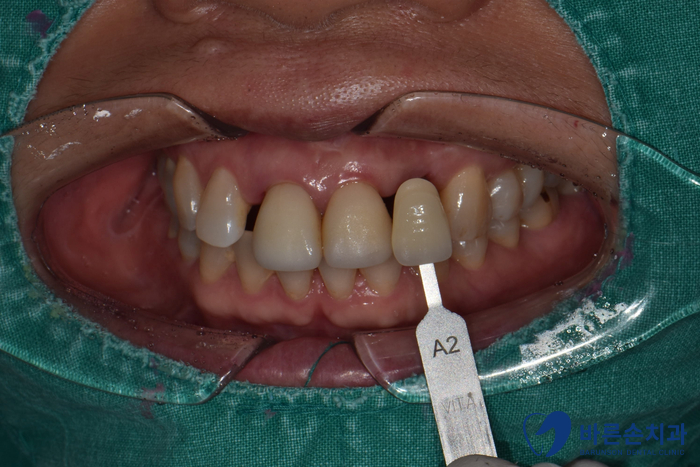
치아색 확인 후 3D 구강스캐너로
보철을 만들어 옵니다!
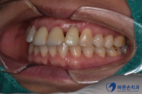
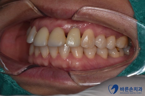
상실된 어금니와 함께
앞니 임플란트가 완료 되었습니다. !
정상적인 위치에 자리잡은 치아가 보이시나요?!
원래 내 치아처럼 회복되었습니다!
앞니 부분 잇몸이 크게 내려가지 않아,
주변 치아들과 이질감이 없습니다.
치주염으로 많이 흔들리게 된 치아는 발치를 해야하니,
치주염이 심해지기 전 예방을 하는것이 중요합니다.
주기적인 검진, 스케일링으로
치주염을 예방하시길 바랍니다.
감사합니다^^
의정부 바른손치과 031-848-2879







