오늘은 충치로 파절된 치아를
크라운 치료를 통해 치료한 케이스를 보여드리겠습니다.
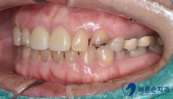
이가 부러졌어요..!
이가 부러졌다고 하셔서 입안을 확인해 봤습니다.
충치가 속으로 진행되어 치아가 푸석푸석해져있네요..
단단하지 않은 상태이기에 파절되었습니다.
충치가 처음 생겼을 때 정기검진으로 알아내고 치료했다면
이렇게 파절되지는 않았을 텐데 아쉽네요..ㅠㅠ
발치하지 않고 최대한 치아를 살리기 위해서
크라운 치료를 진행하기로 했습니다.
치아를 다듬고 본을 떠서 제작해오는데 1주일 정도 소요되는 치료이고
보철물이 나오면 붙이고 마무리됩니다.
크라운 보철물 접착 후 사진입니다.
주변 자연치와 자연스럽게 어우러져 보철처럼 보이지 않네요 ㅎㅎ
치아 사이 벌어져있던 공간도 크라운으로 메꿔줘서
훨씬 더 심미적이게 되었습니다!
정기적인 검진과
조기치료를 통해
구강 건강을 잘 관리하시기 바랍니다.
이렇게 오늘도 글 읽어주셔서 감사합니다^^
의정부 바른손치과 031-848-2879


