오늘은

치주병(풍치)으로 인해 뼈가 무너지고,

치아가 흔들려서 오신 환자분의 치료를 한번 보겠습니다!


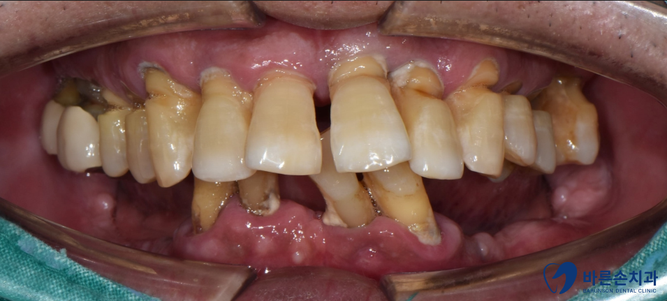
초진 사진

치아를 보시면 주변에 치태, 치석이 방치가 되어있습니다.

잇몸도 빨갛게 부어있고 치아도 옆으로 쓰러져있네요.

당연히 식사 시 매우 불편하십니다 ㅠㅠ

초진 엑스레이

엑스레이 사진으로 보니

잇몸뼈 (빨간 선)가 푹 꺼져서 치아를 잡아주지 못하고 있습니다.

원인은 전부 치석으로 인한 치주병 때문입니다.

최대한 치아를 살리고 싶지만 안타깝게도 전부 살릴 수 없고 발치해야 하네요..

전악 발치, 임플란트 계획을 세우게 되었습니다.

 

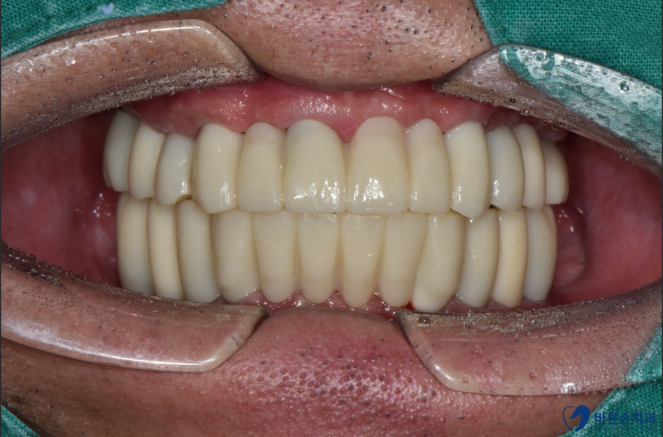
전 2023.12.12 / 후 2024.04.18

임플란트를 하기 전 CT 사진을 촬영하고 더 자세한 뼈 상태를 봤습니다.

임플란트를 심기 위해서는 최소 8~10mm 정도의 뼈가 있어야 하는데

치주병으로 인해 뼈가 종잇장처럼 얇게 있습니다.

뼈 위에 있는 비어있는 공간 상악동을 활용해서

뼈이식을 하고 임플란트 식립하기로 합니다.

임플란트를 총 13개 식립하고

뼈와 임플란트가 단단하게 붙을 동안 2~3개월 정도 기다려야 합니다.

치아가 전부 없는 상태에서, 처음부터 교합을 맞춰야 하기 때문에

임시치아 상태로 2~3 개월 사용하시다가

안정적으로 되고 나서 최종 지르코니아 보철물로 교체합니다.

이렇게 전체 임플란트 치료가 마무리되었습니다~

식사 시 편안함은 물론이고,

심미적으로도 치아가 없을 때와 인상이 많이 달라지기 때문에,

사회 생활도 달라지신다고 하십니다.

임플란트 치료는 끝났지만,

사후관리를 통해 임플란트를 오래 쓰실 수 있도록

잘 도와드립니다.

몸은 다치고 뼈가 부러져도 고칠 수 있지만

치아는 한번 흔들리면 돌이킬 수가 없습니다.ㅠㅠ

더 큰 치료가 필요하기 전에

주기 적인 정기검진으로 치아 건강 지킵시다!

의정부 바른손치과 031-848-2879

카테고리: main임플란트