안녕하세요? 의정부 바른손 치과입니다!

이번 내용은 남녀노소 많은 분들께서 관심 갖어 주시는

치아 미백에 대해서 다뤄 보려 합니다

 

치아 미백 진행 시 위와 같이 주로 심미적인 효과를 얻을 수 있는데요

치아미백의 종류, 효과 및 치료과정에 대해 알아보겠습니다.

치아 미백 방법에는 크게 두 가지가 있습니다

첫 번째 <자가 미백>

두 번째 <전문가 미백>입니다

<자가 미백>은 치과에서 나의 구강상태에 맞는 미백 기구 틀을

제작하여 미백제를 넣고 가정에서 직접 하게 되는데요

아무래도 직접 하시기에는 어려움이 있을 수 있고 장기적으로 진행을 해야 효과가 있습니다

<전문가 미백>은 치과에서 직접 미백제를 도포하고

미백 전용 기계를 사용하여 진행하게 됩니다.

전문 의료진의 관리하에 진행하게되고, 단시간에 빠른 효과가 나타나기 때문에

저희 치과에서는 환자분들께서 대부분 선호하시는 <전문가미백>을 주체로 진행하고 있습니다


저희 병원에서 <전문가 미백> 을 진행해 주신 환자분의 사진을 보실까요?!

환자분께서는 평소 노란 치아를 하얗고 밝게 하고싶다는 주소로 내원해 주셨는데요

아무래도 치아에 노란색이 많은 경우 깨끗한 이미지가 많이 실추 되긴하죠,,

 

먼저 치아 미백을 진행하기 전 치아 색상을 기록하기 위해

색상 가이드를 이용하여 기존 치아 색을 확인해 봅니다.

확인 결과 A3.5 정도의 색상이 나오는군요!

여기서 잠깐! 치아 색상의 가이드에 대해 알아보겠습니다 🙂

치과에서 보는 치아 색 표를 보면, 알파벳과 숫자가 적혀있는데,

알기 쉽게 말씀드리면 숫자가 적어질 수록 밝은 색상을 의미합니다.

A3.5 -> A3 -> A2 로 갈수록 밝아지겠죠?

한국인의 평균은 개인차가 있지만 A2~A3 정도입니다^^

 


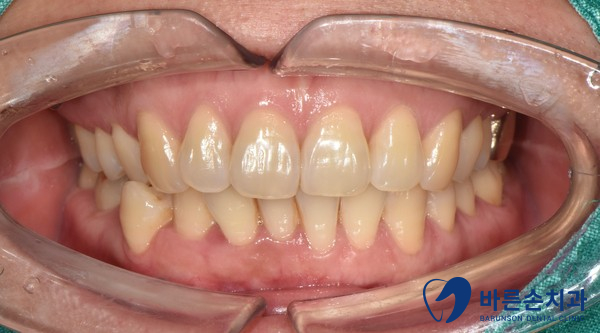
다시 치료 과정으로 돌아와 치아 미백 치료 후의 사진을 보시겠습니다.

 

약 20분의 전문가 치아 미백치료가 끝난 후의 사진입니다

색상 가이드이 숫자가 적어진걸 알수 있죠!

더 확실한 전후사진을 직접 비교해보겠습니다

 

미백 치료 전 A3.5셨는데

미백 치료 후 A2보다도 밝은 색으로

치아색이 훨씬 밝아진 모습을 확인할 수 있습니다!

환자분께서도 짧은 시간내에 밝아진 치아미백 결과에

만족하시고 밝고 환한 미소를 지어 주셨네요^^


지금까지 <전문가 치아 미백>에 대하서 알아봤습니다

항상 저희 치과를 믿고 찾아주셔서 감사합니다 🙂

바른손치과의원

경기도 의정부시 동일로 468 2층

의정부바른손치과 #의정부치아미백 #의정부심미치료 #의정부라미네이트 #의정부치과추천 #의정부임플란트 #신곡동치과추천 #신곡동라미네이트 #신곡동치아미백 #발곡역치과추천 #회룡역치과 #의정부역치과 #의정부치과야간진료 #신곡동치과야간진료 #신곡동바른손치과 #의정부스케일링 #신곡동스케일링

카테고리: Uncategorized