안녕하세요?
입니다.
오늘은 으로
치아가 밝아진 모습을 보여드리겠습니다.
치아미백 하러 왔어요
환자분께서 치아미백을 원하셔 내원해 주셨습니다.
간단한 검진을 마치고,
원래 치아 색상 사진을 촬영하였습니다.
쉐이드 가이드로 비교하면
A3~A2 정도의 밝기를 가지고 계십니다.
(숫자가 클 수록 치아색상이 어둡습니다.)
현재 상태도 크게 어둡거나 누런 상태는 아니지만,
환자분께서 치아를 더 밝고 환하게 하고 싶어서
원데이 치아미백을 진행 하였습니다.
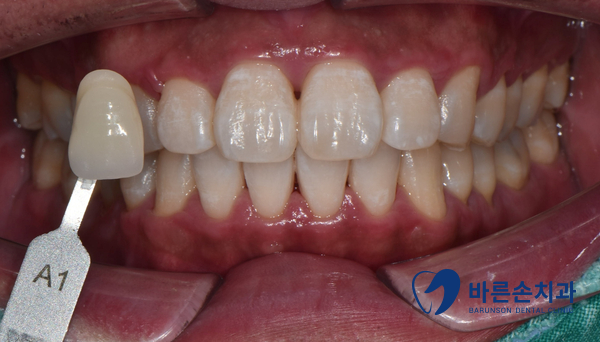
원데이 치아미백을 끝낸 후 사진 촬영한 모습입니다.
치아미백 전에는 A3~A2 와 비슷했는데
치아미백 후에는 A1 만큼 톤이 밝아진 모습입니다.
대부분의 미백 환자분들이 그렇듯,
원데이 치아미백으로 노란톤이 빠지고 더 밝고 환해져서
이 환자분도 거울을 보며 만족 하셨습니다.!!
많은 분들께서 미백으로 내원 해주시고,
시린 증상이 거의 없이 미백을 해드리기 때문에
여러번 주기적으로 받으시는 분들도 많습니다.
이상 오늘도
[ 의정부 바른손치과 ]
였습니다.
감사합니다^^
원데이 미백에 궁금한 점 있으시면
저희 에 문의주세요
감사합니다.





