안녕하세요 의정부 바른손 치과입니다
오늘도 간단한 임플란트 치료 증례를 보여드리겠습니다.
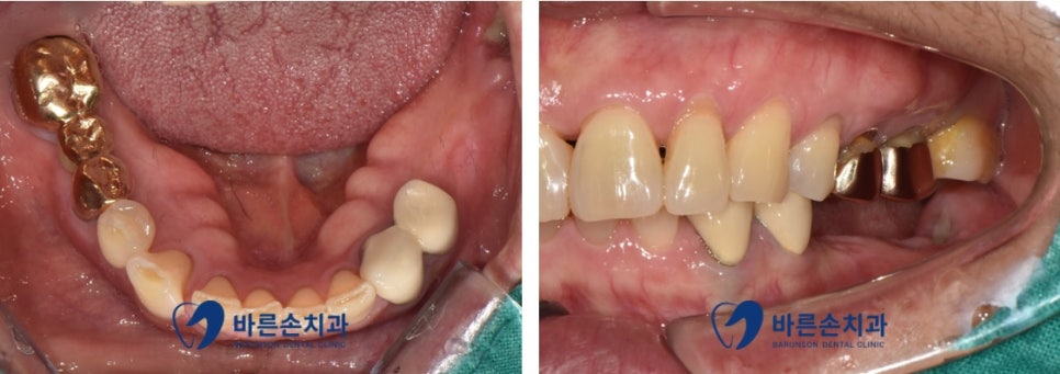
저희 치과에 내원해 주신 환자분의 사진입니다
환자분께서는 오래전에 왼쪽 아래 치아 상실로 인해
식사 시 한쪽으로만 저작을 하다 보니 많은 불편감이 생겨
임플란트 치료를 진행하기로 하였습니다
임플란트 진행 전
정확한 진단을 위해 파노라마 및 3D-CT 촬영을 한 후
치조골 상태 및 임플란트의 식립 위치 등을 확인합니다
임플란트 식립 후 엑스레이를 통해
위치와 간격 모두 안정적으로 식립이 된 걸 확인할 수 있습니다
임플란트 식립 후 치조골과의 결합기간 2~3개월이 지난 후
크라운 제작을 진행함으로써
치료가 마무리되었습니다
양쪽 모두 어금니가 생겨 균형잡힌 식사를 하실수 있게 되었습니다.
편측으로만 씹다보면 그 한쪽이 반대쪽이 해야 할 일까지
2배로 하기 때문에, 편측 어금니 마저 쉽게 탈이날 수 있습니다.
생각보다 간단한 방법으로,
짧은 시간에 임플란트가 끝나는 경우가 대부분 입니다.
치아가 없으신 분들은 너무 걱정 마시고 내원해주세요!
오늘도 바른손치과를 찾아주셔서
감사합니다^^







