발곡역치과, 상악동 거상술을 통한 임플란트 치료

안녕하세요.
발곡역치과 [의정부 바른손치과]입니다.
오늘은 임플란트 치료 케이스를 통해
상악동 거상술 수술을
설명해드리려고 합니다!!

2023.10.05
윗 어금니들이 다 빠지거나 부러진 환자분 께서 내원하셨습니다.
임플란트를 해야하는데 뼈가 없어서 안된다고 들으셨다고 오셨어요.ㅠㅠ
사진을 보시면 치아가 부러져서
작은 어금니는 뿌리만 남아있고
큰 어금니는 이미 상실되어있습니다..

2023.10.05
구내 엑스레이 사진을 보면 양쪽 위 어금니들이
빠진지가 오래되어 상악동 함기화가 되어
임플란트 식립할 뼈가 부족합니다.
X 표시가 되어있는 치아는 발치하고
왼쪽은 치아 3개, 오른쪽은 치아 4개를 만들기로 계획을 세웁니다.
왼쪽도 원래라면 4개의 어금니가 전부 있어야 하지만
아래 맞닿는 치아 하나가 어차피 없기 때문에
3개까지만 제작하기로 했습니다.

2023.10.05

2023.10.05

2023.10.05

2023.10.05
임플란트를 심기 위해서는 뼈가 충분히 있어야 하는데
상악동(빈 공간) 아래로 뼈가 너무 얇습니다.
상악동을 들어올려서 뼈이식을 충분히 하고 임플란트를 식립하기로 합니다.
이 수술 방법을 상악동 거상술이라고 해요.
좌우 모두 뼈를 만들면서 임플란트를 식립합니다.
임플란트를 심고 기다리는동안은 임시틀니를 제작해드려서
식사하는데에 불편함이 덜하도록 해드렸어요~

2023.10.05
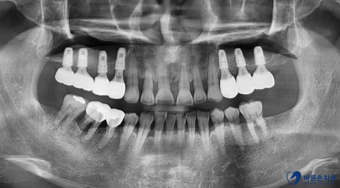
치료가 다 끝난 사진입니다!
임플란트도 뼈 안에 가지런히 잘 식립되어있습니다.

2023.10.05
상실되어있던 치아들이 전부 생기게 되었고
치아색 보철로 내 치아처럼 자연스럽게 제작되었습니다
이제 아래 치아와 전부 맞닿게 되니까
식사 하시기 훨씬 편해지실겁니다!

2023.10.05
발곡역치과 임플란트 치료 후에도
주기적인 리콜과 체크를 시행해서
오래도록 임플란트를 사용 하시도록
도와드립니다.
이상 오늘도
발곡역치과 [의정부 바른손치과]
였습니다.
감사합니다.
진료문의
031)848-2879
네이버지도 바로가기
1) 모든 증례 사진은 의료법 제23조, 제 56조에 의거하여, 당사자의 동의 하에 게시하였습니다.
2) 치료 사진은 모두 본원에서 치료한 동일 환자분의 사진이며, 동일조건에서 촬영하였습니다.
3) 개인의 차이에 따라 시술 및 수술 후 부작용이 발생할 수 있으며, 의료진과 충분한 상담을 받으시기 바랍니다.
