발곡역치과, 치주염으로 흔들리는 앞니 임플란트 치료

안녕하세요.
발곡역치과 [의정부 바른손치과] 입니다.
오늘은 치주염으로 앞니가 흔들리는 분이 내원해주셨습니다.
치주염이란?
잇몸에 생긴 염증으로 인해 치아를 잡아주는 잇몸 뼈가 녹아버리는 증상을 말합니다.
보통 풍치, 잇몸병, 치주질환이라고 하는데
다 같은 말이에요.
치주염을 초기에 예방하지 않으면
염증이 점점 더 진행되어 잇몸 뼈에도 영향을 줍니다.
결국에는 치아가 흔들리게 되버리죠ㅠㅠ
충치도 없고 멀쩡한 치아라고 해도
치아를 잡아주는 뼈가 녹아버리면
이건 어쩔 수 없이 빼야합니다..
그러니 무엇보다 예방이 중요한 질환입니다.
예방은 치과에서 주기적인 스케일링과 잇몸치료를 받으시면 됩니다.^^
자 그럼 치주염으로 인해 치아가 이미 많이 흔들리는 상태로 오신 분을 볼께요

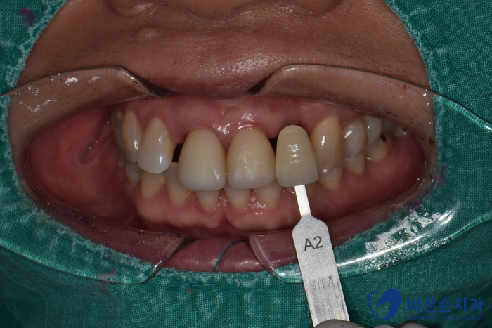
Before 25.05.08

Before 25.05.08
보시면 앞니 하나가 유독 뼈가 내려가 있는 걸 볼 수 있어요.
치아를 잡아주는 뼈가 별로 없다보니
치아가 밑으로 내려오면서 많이 흔들리는 상태였습니다.ㅠㅠ
치아가 흔들리면 저작 시 움직이게 되어
통증을 느끼고 불편하십니다.
그래서 발치 후 임플란트로 치료계획을 세웁니다!

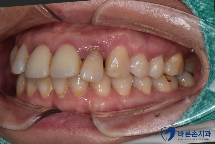
Before 25.05.16
이미 상실되어 있는 어금니와 함께 앞니 임플란트를 가지런히 심었습니다.
앞니 임플란트는 자주 보이는 부분이기에,
잇몸이 내려가지 않도록 식립하는게 관건입니다.
잇몸이 많이 내려가면, 심미적으로 좋지 않거든요.
2개월 뒤 임플란트와 뼈가 단단히 붙어
보철 제작에 들어갑니다.

Before 25.08.26
치아색 확인 후 3D 구강스캐너로
보철을 만들어 옵니다!
3D 구강스캐너가 궁금하시다면 아래 링크를 참고해주세요 ^^

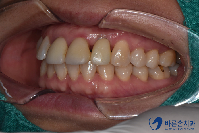
After 25.09.09

After 25.09.09
상실된 어금니와 함께
앞니 임플란트가 완료 되었습니다. !

Before 25.05.08

After 25.09.09
정상적인 위치에 자리잡은 치아가 보이시나요?!
원래 내 치아처럼 회복되었습니다!
앞니 부분 잇몸이 크게 내려가지 않아,
주변 치아들과 이질감이 없습니다.
치주염으로 많이 흔들리게 된 치아는 발치를 해야하니,
치주염이 심해지기 전 예방을 하는것이 중요합니다.
발곡역치과에서 주기적인 검진, 스케일링으로
치주염을 예방하시길 바랍니다.
이상 발곡역치과 [의정부 바른손치과] 였습니다.
감사합니다^^
진료문의
031)848-2879
네이버지도 바로가기
1) 모든 증례 사진은 의료법 제23조, 제 56조에 의거하여, 당사자의 동의 하에 게시하였습니다.
2) 치료 사진은 모두 본원에서 치료한 동일 환자분의 사진이며, 동일조건에서 촬영하였습니다.
3) 개인의 차이에 따라 시술 및 수술 후 부작용이 발생할 수 있으며, 의료진과 충분한 상담을 받으시기 바랍니다.
