신곡동치과, 앞니 지르코니아 크라운 충치 치료

 

신곡동치과

 

안녕하세요.
신곡동치과 [의정부 바른손치과] 입니다.!

오늘은
앞니에 충치가 생긴 환자분께서 내원해주셨습니다.

 

신곡동치과

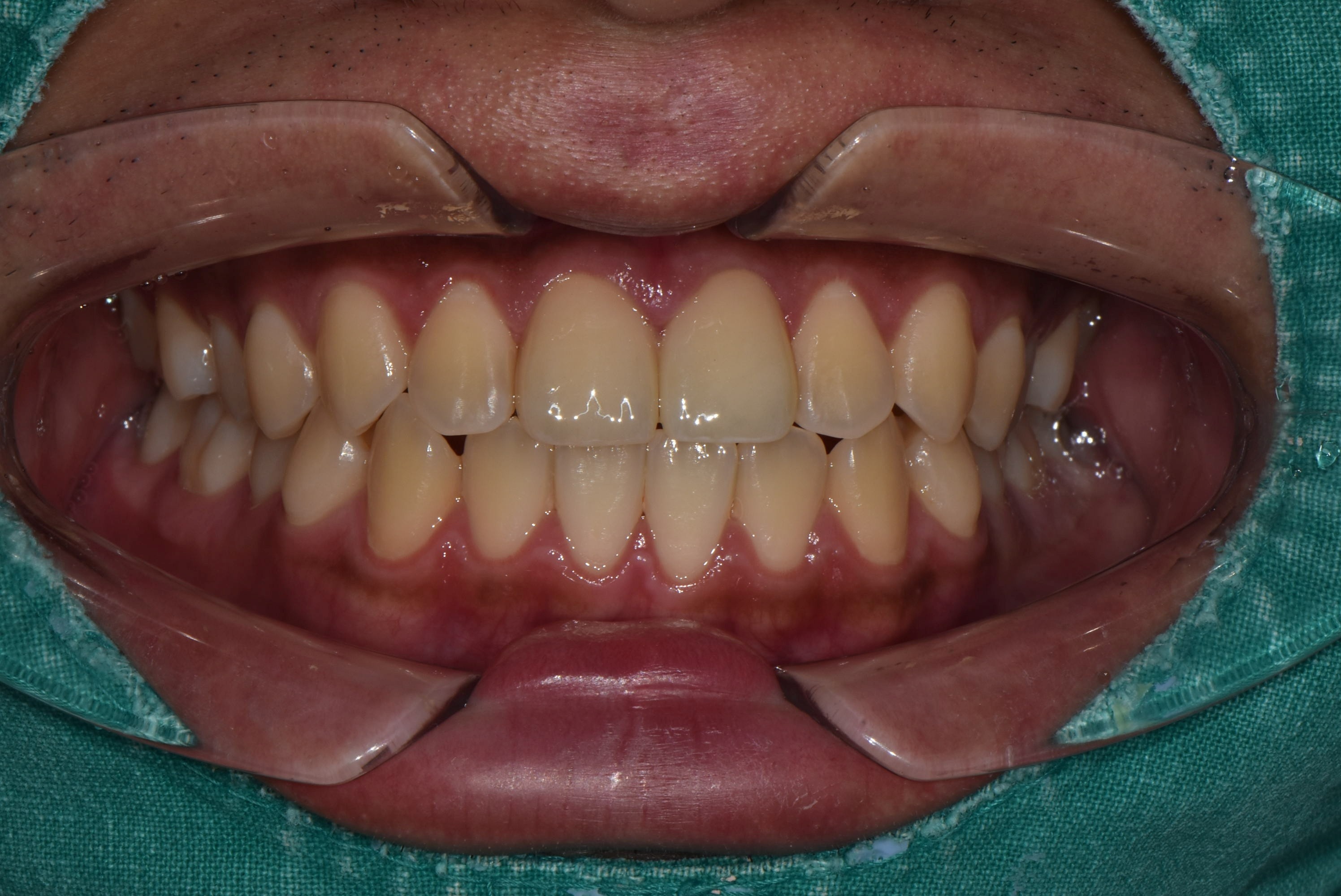
Before 25.08.28

 

먼저 치아 사진을 찍어보니 앞니 사이사이에 충치가 생겼네요!
이미 까맣게 비춰보일 정도라 충치가 꽤 진행된 상태였습니다.

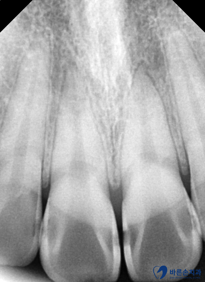
정밀한 진단을 위해 엑스레이도 촬영 해보았습니다.

 

신곡동치과

Before 25.08.28

신곡동치과

Before 25.08.28

 

충치 범위가 생각보다 넓었지만
환자 분 나이가 아직 많이 어린 학생 분이라
신경치료 없이 보철치료를 하기로 합니다.

조심스럽게 충치를 제거 한 후
큰 앞니 두개는 지르크라운 보철치료
양 쪽 작은 앞니 두개는 레진 치료로 결정!

 

신곡동치과

After 25.09.26

 

약 1주일 후,
보철이 엄청 자연스럽게 완성되었어요!
완전 내 치아처럼 자연스럽죠?

 

신곡동치과

Before 25.08.28

신곡동치과

After 25.09.06

 

신곡동치과 두번의 내원만에 치료가 완료 되었습니다 !! ^.^

충치 치료는 물론 심미적으로도 더 아름다워 졌네요 ^^

오늘도 간단한 케이스 소개드렸습니다.
독감 조심하세요^^

신곡동치과 [의정부 바른손치과의원]
031)848-2879

네이버지도 바로가기

1) 모든 증례 사진은 의료법 제23조, 제 56조에 의거하여, 당사자의 동의 하에 게시하였습니다.
2) 치료 사진은 모두 본원에서 치료한 동일 환자분의 사진이며, 동일조건에서 촬영하였습니다.
3) 개인의 차이에 따라 시술 및 수술 후 부작용이 발생할 수 있으며, 의료진과 충분한 상담을 받으시기 바랍니다.

 

신곡동치과 신곡동치과