안녕하세요, 바른손 치과입니다!

오늘 소개해 드릴 내용은

치아의 파절 손상 정도가 큰 경우 필요한 <포스트>에 대해서 설명해 보겠습니다


흔히 신경치료, 크라운 치료는 많이 들어보셨겠지만

포스트에 대해서는 생소하실거라 생각이 됩니다

포스트란?!

치아의 파절 손상 범위가 큰 경우 신경치료 후 신경관 내 포스트(기둥)를 세워

치아의 강도와 보철의 유지력을 높이는 치료방법 입니다


저희 병원에 내원 해 주신 환자분의 사진을 보며 설명해 드리도록 하겠습니다^^

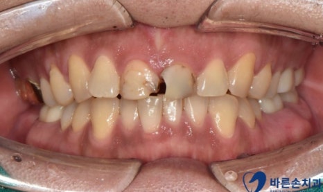
환자분의 경우 육안상으로 보아도 치아의 손상도가 커 보이는데요

정확한 손상 정도를 확인 하기 위해 엑스레이 촬영을 합니다

엑스레이 확인 결과 육안상으로 보는 것 보다

파절정도와 범위가 크고 이로인해 치아의 신경이 노출된 것을 알 수 있었습니다

이런 경우 치아가 많이 손상되어 발치를 생각 볼 수도 있지만

그래도 치아를 최대한 살려보고자 합니다!!

그러기 위해서 신경치료, 크라운 치료와 함께 포스트 치료가 필요 해 보입니다


우선, 치아의 파절로 인해 신경이 노출되어

세균감염과 통증을 유발하기 때문에

신경 치료를 시행합니다

신경치료가 잘 끝났고

환자분께도 통증이 사라짐을 확인 하였습니다

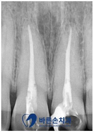
치아의 신경관 내 포스트를 적합 후 치아의 파절 부위를 보강해 주고

크라운 제작을 시행 합니다

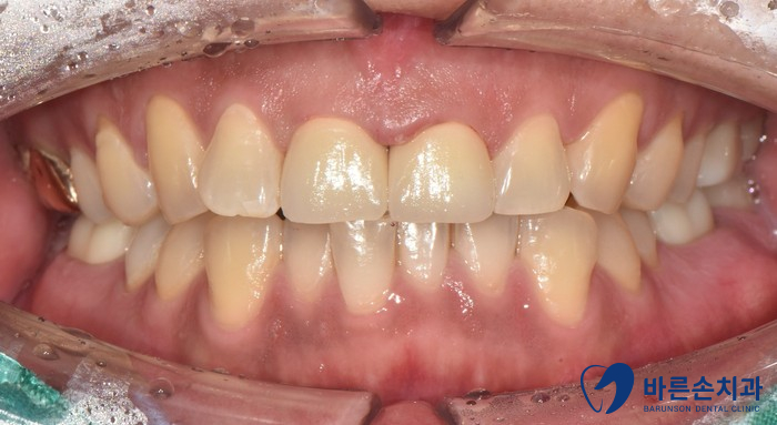
완성 된 크라운까지 부착하면 비로서 치료가 마무리 됩니다


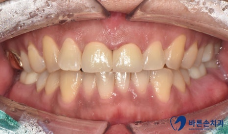
치료 전 후를 비교해 볼까요?

 

치료전 치료후

자연스럽게 크라운이 완성되었네요.

치아가 많이 손상되었어지만

포스트 이용해 손상부위와 유지력을 보강 함으로써

환자분의 치아를 최대한 살리는 방향으로 치료가 잘 끝났습니다

환자분께서도 발치하지 않고

기존 치아를 보존 할 수 있게 되어 만족하시네요^^

오늘도 저희 치과를 믿고 찾아주신 분들께 감사드리며

항상 바른 진료로 보답하겠습니다


카테고리: 충치치료심미보철