안녕하세요. 의정부 <바른손치과>입니다!
오늘 보여드릴 환자분은 앞니 충치로 인해서
신경치료+크라운을 진행하신 환자분입니다.
환자분 사진을 보면서 설명드릴게요!
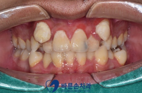
환자분 구강 사진입니다.
전반적으로 구강위생도 잘 되어있지 않았고, 앞니에 까맣게 충치가 생겨있네요.
충치의 진행 정도를 보기 위해서 파노라마 사진을 확인해 봤습니다.
파노라마 사진을 보시면 동그라미 부분에
까맣게 충치가 진행되어 있는 모습을 보실 수 있습니다.
치아의 가운데에는 신경이 있는데 충치가 신경 가까이 진행되어 있기 때문에
충치를 제거하면서 신경치료를 진행해야 하는 상황입니다.
화살표 보시면 하얀색으로 되어있는 부분 보이시나요??
충치를 제거하고 레진이라는 재료로 치아 벽을 만들어준 모습입니다.
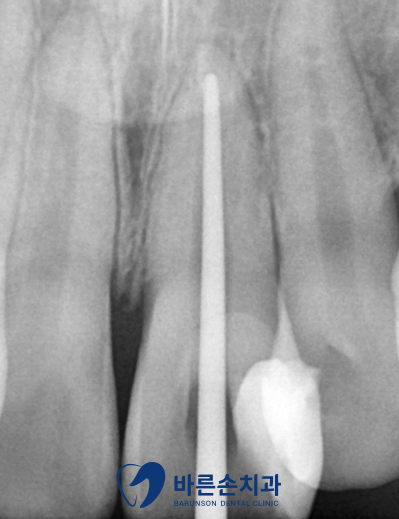
그 후에 안에 있는 신경을 바늘 같은 도구를 사용하여 제거해 줍니다.
신경을 제거한 후 비어있는 공간을 채워주는 재료(GP콘)를 넣어주고
크라운(보철물)을 씌울 수 있도록 치아를 다듬어줍니다.
그 후 크라운을 제작하기 위해 본을 뜨고
크라운이 제작되는 동안 임시로 사용할 치아까지 만들어드린 후
일주일 정도 지나고 오셔서 크라운까지 붙이면 치료가 끝나게 됩니다.
최종 보철물을 세팅 후 치료 전후를 비교해봅니다!!
전에 있던 충치는 말끔하게 제거 되었고,
본인 치아와 유사한 크라운이 심미적으로 세팅 되었습니다.
유지관리를 더 당부 드리고 치료를 끝냈습니다.!!
이상 바른손치과였습니다.^^
#의정부바른손치과 #신곡동바른손치과 #의정부치과추천 #의정부신경치료 #의정부보철치료 #의정부크라운 #의정부인레이 #의정부충치치료 #의정부치아교정 #의정부치아미백 #의정부원데이미백 #의정부임플란트 #의정부턱관절 #신곡동임플란트 #금오동임플란트 #민락동임플란트 #포천임플란트 #노원임플란트 #의정부스케일링 #의정부안아픈치과 #의정부야간치과 #의정부야간진료 #의정부보험임플란트 #의정부스트라우만 #의정부금니 #의정부무통마취 #의정부보험틀니 #의정부소아치과 #의정부실란트 #의정부어린이치과







