안녕하세요

의정부 바른손 치과입니다

오늘 간단하게 소개해 드릴 내용은

치료 기간도 줄이고!! 치료비 부담도 줄이는!! 간단한!!

만 65세 이상 <보험틀니>


환자분께서는

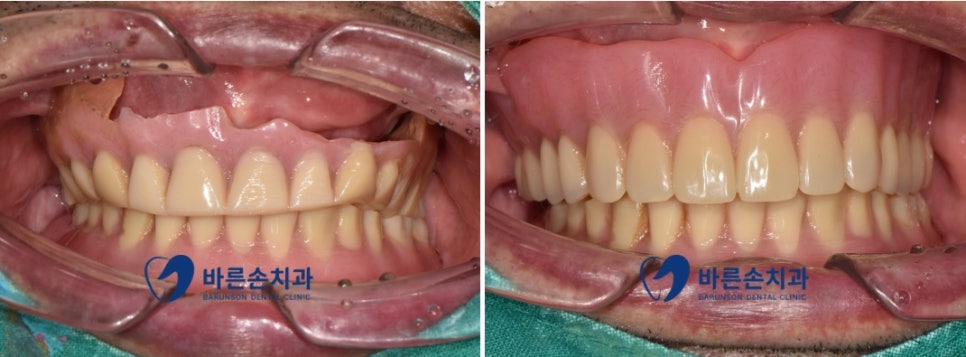
기존에 이미 위아래 모두 전체 틀니를

사용하고 계셨지만 그중

위에 틀니의 파손으로 인한 불편감으로 저희 치과에 내원해 주셨습니다


원장님 검진 결과

기존 틀니의 파손 정도가 심해

수정보다는 새로 제작하는 것이 필요하였는데

보통 위아래 모두 새로 제작하는 경우가 대부분이지만

환자분의 경우 위에 틀니만 새로 제작하는 것만으로도

충분할 것으로 판단되었고

전체가 아닌 위에만 제작하는 상황에서

만 65세 이상으로 <보험틀니> 혜택까지 가능하여

비용 절감이 굉장히 많이 되셨습니다^^

기존 틀니에서는 많이 닳아 있던 치아로 인해

무너진 수직 고경 또한

새로 제작을 통해 치료가 되었습니다

전체적인 치료 기간은 한 달이 채 안 걸렸지만

짧은 기간 안에 편안한 식사는 물론 심미적으로도

더 젊어 보이는 효과를 얻었습니다^^


치료 기간도 줄이고!! 치료비 부담도 줄이는!! 간단한!!

만 65세 이상 <보험틀니>

의정부 바른손 치과에 오셔서 상담해 주세요

감사합니다^^

#의정부바른손치과 #신곡동바른손치과 #의정부보험틀니 #의정부보험임플란트 #의정부치과보험 #의정부치과추천 #의정부안아픈치과 #의정부치료잘하는치과 #의정부신경치료 #의정부충치치료 #의정부야간치과 #의정부치아미백 #의정부라미네이트 #의정부신경치료 #의정부턱관절

카테고리: 심미보철