안녕하세요~
[의정부 바른손치과]입니다.
오늘은 미끄러운 겨울철!
앞니를 부딪혀서 부러져서 내원한 환자분의 치료를
보겠습니다 ㅠㅠ
겨울철 넘어지셔서,
가운데 앞니 2개 중 하나가 반토막으로 부러졌네요..ㅠㅠ
치아의 파절 정도에 따라, 치료가 달라지게 되는데
매우 조금 파절이 되면 그냥 사용하거나, 간단한 레진치료로 해결이 됩니다.
좀 더 파절이 되면 신경치료 없이 크라운 치료를 하면되는데..!!
이 환자분의 경우엔 통증도 있으시고, 신경관 가까이 까지 파절이되어
신경치료 후 크라운 치료를 계획했습니다!
일반적인 신경치료는 첫번째날 신경 제거를 하고,
2-3번 정도 신경관 내부 소독
마지막날 신경관을 매꾸고 크라운 본을 떠서 씌우면 신경치료가 끝나게 됩니다.
총 3-4번 정도 내원하셔야 하는 치료라서 자주 오셔야 하죠..
그치만 이 환자분은 당일날 신경치료를 다 끝내셨습니다.
그리고 본을 뜨고, 임시치아를 잠시 사용하십니다.
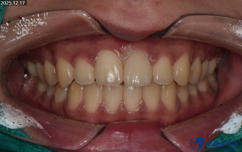
완성된 보철물이 나와 세팅을 합니다.
다행히 원래 치아와 비슷하게
감쪽같이 치료가 잘 마무리 되었습니다.
유독 추운 이번 겨울!
빙판길 사고 조심하시고
치아 건강도 지키시길 바라겠습니다^^
이상 [의정부 바른손치과] 였습니다~~~
031-848-2879


